Skip to content
Purple Wave

Diagnostic Suite

A cloud-first interpretation and reporting solution that unifies best-in-class image management, multi-modality viewer, automated reporting, workflow tools and native clinical AI orchestration—capabilities that typically require multiple vendor components.

This end-to-end solution can be stand-alone or layered and interoperate with legacy PACS, unlocking the full diagnostic experience.

With rapid data migration, interoperability, and a secure, hybrid-cloud infrastructure, health systems can take immediate advantage of the suite without additional IT burden.

Book a demo
Diagnostic Suite
Purple Wave

Explore the industry’s most comprehensive integrated portfolio of AI-powered suites of solutions at the European Congress of Radiology.

4 - 8 March, 2026
Vienna, Austria
Book a demo

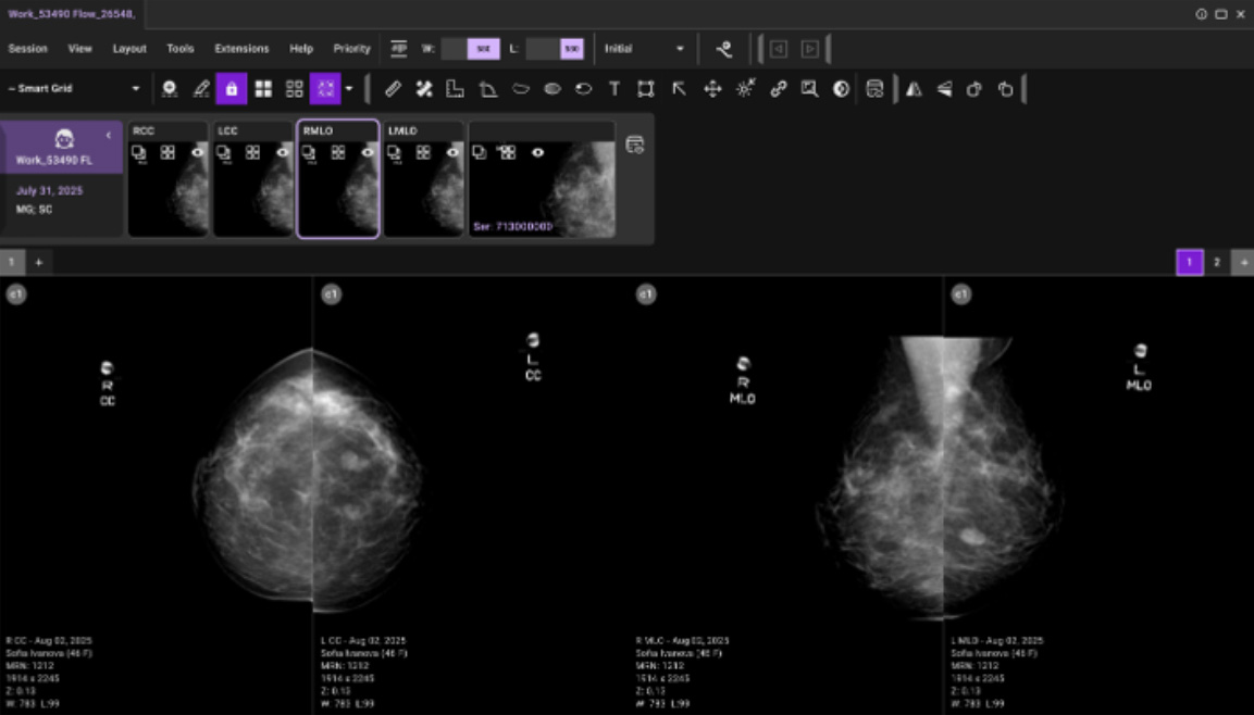
Accelerated Diagnostic Experience

DeepHealth Diagnostic Suite unifies ultra-fast viewing, advanced visualization, structured reporting, and intelligent worklist management into a single diagnostic workspace.

Purple Wave

Powered by hyper-streaming technology, view most studies in ~1 second1; View tomosynthesis with priors <3 seconds1

Enables secure, thin-client and browser-based access without compromise from anywhere.

Access to 140+ AI algorithms across 75 vendors and DeepHealth Clinical AI applications - into the worklist, reporting, viewer, and workflow engine with capabilities for AI evaluation and monitoring during production. No separate marketplaces, integrations or point solutions.

Consolidates, auto-assigns and enables case prioritization from multiple PACS systems into one intelligent, centralized view across sites and readers to enable efficient workflows.

Context launches advanced visualization, native AI insights, and 3D imaging from one unified platform .

Ultra-fast image access Cloud-native, read anywhere platform Native Clinical AI Orchestration Unified worklist Integrated Advanced Visualization
Purple Wave

Delivering Value with Intelligent Radiology

Improving radiologist workflow productivity and consistency

Diagnostic Suite

Al-assisted solution to summarize and organize findings into clinically relevant impressions.

Integrates voice, clickable templates, and automation for higher-quality accelerated reporting

Automatic pre-population of measurements, Al-based findings and results into linked templates for low- or zero-touch reporting

Enables building and customization of any radiology workflow via simple, natural-language prompts

Auto-checks for errors and flags before radiologist sign off

Simplified Operations

Transform IT operations with a cloud-native infrastructure that is easier to adopt, run, secure and scale as you grow.

Rapid on-ramp to cloud migration

Enables just-in-time migration with immediate access to priors while historical data transfers seamlessly in the background.

Flexible, scalable deployment

On-prem, cloud, or hybrid - flexible, adaptable options that grow with data and users.

Modular

This end-to-end solution is built on components that can be deployed stand-alone or unified and layered with legacy PACS or be the unified PACS.

High-availability / Disaster recovery

Ensures uninterrupted access to safeguarded images and patient data, enabling fast recovery.

Auto-Scale & Interoperability

Cloud-first design grows with data and seamless integration with existing PACS, RIS.

Purple Wave

Proven Results at scale

140+

AI Applications across 75 vendors

~1 s

Ultra-fast image access to most studies¹

<3 s

Ultra-fast tomosynthesis viewing with priors¹

20M+

Studies per year across 800+ sites using DeepHealth PACS supported globally

Purple Wave
quotes

Real voices.
Real impact.

David M. Engert
White Wave

David M. Engert

CEO, Onrad, Inc.

“As our operations expand rapidly, the scalability and reliability of DeepHealth's cloud-native architecture will play a crucial role in meeting our evolving needs. By transitioning our operations from traditional radiological technologies to pioneering the deployment of a cloud-native imaging workflow ecosystem powered by AI, we are committed to enhancing care delivery for both patients and providers”

Purple Wave
[1] Data on file. Claims based on an internal study conducted on a test set of GCP-hosted VMs under controlled conditions in which most studies opened in low seconds (≈0.82-1.13 seconds); tomosynthesis with priors opened in under 3 seconds (≈2.12 s). Results will vary by network, hardware, dataset size, and workflow; not a guarantee of customer performance.

Disclaimers: DeepHealth Diagnostic Suite comprises multiple applications including DeepHealth Viewer. DeepHealth Viewer is Manufactured by eRAD, Inc. and Distributed by DeepHealth, Inc. Any claims made about Diagnostic Suite may reference claims associated with its individual components. Not all products and functionalities are commercially available in all countries. For clearance and commercial availability in your geography of functionalities listed and compatibility with other systems, please contact your account manager.