Skip to content
Purple Wave

Neuro Suite

Empowering breakthroughs in brain care

An AI-powered, end-to-end suite of modular, interoperable applications that standardize and automate neuroimaging analysis for WMH detection and brain volumetric quantification, leveraging quantitative measurements and normative data to deliver actionable insights for consistent, confident clinical decision-making at scale.

Book a demo
Neuro Suite
Purple Wave

Discover a New Standard of AI-Powered Care at RSNA 2025

Nov 30 - Dec 3, 2025
Chicago, US
Book a meeting

With a modular design to meet your unique clinical needs

cloud-outline

Cloud-native, accessible from anywhere

cogwheel-time

Automated & standardized reporting

FreeSurfer

Incorporates FreeSurfer

Icon_Brain Exam Top-white

Brain Health

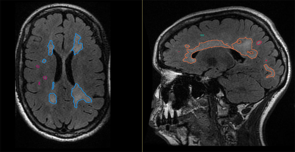
AI-powered WMH detection & segmentation

Provides consistent, automated localization of WMHs and segmentation of the boundaries for accurate assessment.

Book a demo
Brain Health

Creates efficient workflows with color-coded overlays on FLAIR images with seamless PACS integration that enables immediate visual assessment.

Facilitates multidisciplinary team communication with clearly organized reports, integrating quantified measurements and segmentation results.

Provides automated segmentation and objective assessment of total WMH volume, lesion count, and anatomical distribution.

Supports personalized care with detection of subtle changes over time compared to prior exams and normal aging patterns, enabling progression management.

brain-age

Brain Age

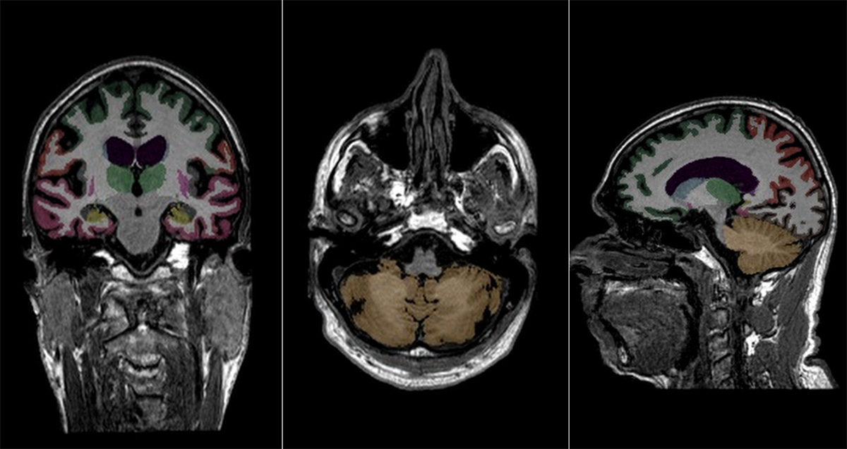
AI-powered brain atrophy quantification

Provides consistent analysis with automated, objective quantification of brain structures, volumetric analysis, and atrophy measurements.

Book a demo
Brain Age

Color-coded anatomical overlays on T1 images and standard PACS viewers enable immediate visual assessment of brain structure.

Facilitates multidisciplinary team communication with clearly organized reports, integrating quantified measurements and segmentation results.

Provides automated segmentation of brain structures and accurate assessment of changes in volume.

Delivers quantitative measurements of region volume for comparison to prior exams and normative age- and sex- matched databases with percentile rankings that identify deviations from expectations.

Looking for the right solution? Schedule your demo.

Book a demo

Keeping the patient at the center is our primary goal

Professors Giovanni Capobianco and Marco Guazzaroni from ASL Roma 2, the Regional Health Authority of Rome worked with DeepHealth's AI-powered solution to segment the brain and prevent the progression and worsening of mild cognitive impairments through a collaborative multi-disciplinary approach.

Book a demo
Purple Wave

Proof in practice Evidence, Experience and Resources

92%

sensitivity in identifying hippocampal atrophy specific to Alzheimer's disease, even in its preclinical stages1

86%

positive correlation between neuropsychological tests and the degree of atrophy revealed by the quantitative analysis of brain volume breasts1

Standardization

across clinicians and multidisciplinary teams supported by AI-generated quantitative volumetry and structured reports1,2

Purple Wave
quotes

Real voices.
Real impact.

Dr. Mario Muto
White Wave

Dr. Mario Muto.

Emicenter, Naples

"Using DeepHealth's Neuro Suite of products enables us to provide our clinicians with valuable objective information derived from our MRI scans. Comparing the patient's results to a non-biased reference population makes it easier for clinicians to give patients insights into their atrophy development."

Purple Wave
CT scan

Transforming population health with AI-powered diagnostic screening programs

Explore our vision

Could healthcare begin before illness ever shows up? Rather than waiting for patients to experience symptoms, what if care started with prevention, early detection, and access to critical diagnostic tools?

Finding and treating diseases, like cancer, at earlier stages increases survival rates.3 Screening healthy people helps make early detection more possible. By expanding screening for a range of diseases, more people have the chance to stay healthy longer—and this shift has the potential to significantly transform population health.

Population Health Suite of Solutions

Orchestrate and scale high-volume cancer screening and disease assessment programs.

Find out more

References:
[1] Preliminary data from the observational study conducted at ASL Roma 2 on 226 geriatric patients starting from February 2023 to date, toinvestigate early diagnosis of dementia with the use of neuropsychological tests and AI-powered (DeepHealth ND) MRI automated evaluation ofbrain volumetry.
[2] Preliminary data from a Retrospective, single-center cohort of 133 patients referred for MRI with suspected neurodegenerative disease (suspected dementia) at IRCCS San Raffaele Hospital (Milan). Manuscript is in review. Unpublished data on file.
[3] American Cancer Society. Breast Cancer Screening Guidelines, December 2023. Available on the https://www.cancer.org/cancer/types/breast-cancer/screening-tests-and-early-detection/american-cancer-society-recommendations-for-the-early-detection-of-breast-cancer.html. (Accessed July 16, 2025)

Disclaimers: Neuro Suite comprises multiple applications including DeepHealth Brain Health, DeepHealth Brain Age and DeepHealth Viewer. DeepHealth Brain Health is manufactured by Quantib B.V. and Distributed by DeepHealth in the U.S. DeepHealth Viewer is Manufactured by eRad, Inc and distributed by DeepHealth, Inc. Any claims made about Neuro Suite may reference claims associated with its individual components. Not all products and functionalities are commercially available in all countries.